Mesothelioma is a cancer common among retired blue-collar workers in America. Even though the disease can take decades to develop and sometimes never does, those exposed to asbestos at any point in their lifetime have reason to alert their doctors to the possibility of a future mesothelioma diagnosis.

Health Dangers
Although asbestos is a naturally occurring mineral within our environment, asbestos fibers are most likely to be inhaled or swallowed at a place of work. For decades, US manufacturers worked natural asbestos into their materials and products. Whether it was a large commercial building or a new oven mitt in the kitchen, many American-made items were produced with asbestos or assembled by an unsuspecting citizen who was unaware of the dangers it posed to their health.
Common Types in the Body
Three common types of mesothelioma form within the human body: pleural, peritoneal, and pericardial. After being inhaled or swallowed, asbestos fibers are able to penetrate and damage different areas within the body. Damaged areas can progress into tumors that ultimately kill the victim.
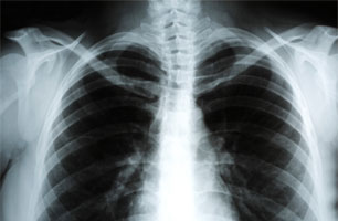
Diagnosis
Diagnosing mesothelioma has been difficult for doctors, mostly because the symptoms so much resemble those of other respiratory diseases. It is not uncommon for a senior citizen to be misdiagnosed with pneumonia, when they are really suffering from pleural mesothelioma.
Contact Our Office
If you have been exposed to asbestos at some point in your life, tell your doctor today. This will keep them on the alert for signs and symptoms that could belong to mesothelioma. If you are like many other mesothelioma patients, you might consider filing a lawsuit against those responsible for your diagnosis. Many companies and employers were aware of the link between asbestos and mesothelioma, and knowingly allowed workers to become exposed to the substance. As a result 2,000-3,000 mesothelioma cases are diagnosed each year in the United States. Contact our office to learn more about how to file a mesothelioma related lawsuit.
